Dual-Fluorescence Bacterial Viability Assay Kit
The LiFlour™ Bacterial Viability Kit utilizes SYTO 9 and Propidium Iodide to provide rapid, two-color fluorescence discrimination between live (green) and dead (red) bacteria. SYTO 9 stains all cells, while PI is excluded by healthy membranes, ensuring that only compromised cells exhibit red fluorescence. Compatible with flow cytometry and microscopy, the kit is effective across most bacterial types.
Key Features
• Membrane Integrity Detection: Green stains all bacteria, red identifies membrane-compromised cells.
• Gold-Standard Correlation: 98% agreement with CFU growth assays (liquid & solid media).
• Universal Compatibility: Optimized for Gram+/Gram- bacteria across 0.1-50μm size range.
Specifications
1. Platform: Fluorescence Microscopy, Flow Cytometry
2. Detection Method: Fluorescent
3. Ex/Em: 500/530
Applications
Bacterial viability assay
Components
1. SYTO 9 dye: 300 µl
2. Propidium Iodide: 300 µl
Storage
Store at -20°C and protect from light.
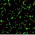
Case Study
Live and dead E.coli cells stained with LiFluor™ Bacterial Viability Kit. Live bacteria exhibit green fluorescence, whereas dead bacteria exhibit red fluorescence.
