| Reactivity: | Human, Mouse, Rat |
| Applications: | WB, IF/IC |
| Isotype: | IgG |
| Clone: | 23GB1330 |
| Host Species: | Rabbit |
| Clonality: | Monoclonal antibody |
| Gene Name: | ATP binding cassette subfamily B member 1 |
| Gene Symbol: | ABCB1 |
| Synonyms: | CLCS; MDR1; P-GP; PGY1; ABC20; CD243; ENPAT; GP170; p-170 |
| Immunogen: | A synthesized peptide derived from human P Glycoprotein |
| Dilution: | WB 1:1,000-1:5,000; IF/IC 1:1,000 |
| Uniprot ID: | P08183 |
| Gene ID: | 5243 |
| MW: | 130-180 kDa |
| Purification Source: | Cell culture |
| Purification Method: | Affinity Purified |
| Buffer: | Liquid in BSA, PH 7.4, 50% glycerol and less than 0.02% sodium azide. |
| Storage: | Store at -20°C. Avoid repeated freeze/thaw cycles. |
Background
The membrane-associated protein encoded by the gene ABCB1 is a member of the superfamily of ATP-binding cassette (ABC) transporters. ABC proteins transport various molecules across extra- and intra-cellular membranes. ABC genes are divided into seven distinct subfamilies (ABC1, MDR/TAP, MRP, ALD, OABP, GCN20, White). This protein is a member of the MDR/TAP subfamily. Members of the MDR/TAP subfamily are involved in multidrug resistance. The protein encoded by this gene is an ATP-dependent drug efflux pump for xenobiotic compounds with broad substrate specificity. It is responsible for decreased drug accumulation in multidrug-resistant cells and often mediates the development of resistance to anticancer drugs. This protein also functions as a transporter in the blood-brain barrier. Mutations in this gene are associated with colchicine resistance and
Images
![]() | Western blotting analysis using anti-ABCB1 antibody. Total cell lysates (30 ug) from various cell lines were loaded and separated by SDS-PAGE. The blot was incubated with anti-ABCB1 antibody (1:5,000) and HRP-conjugated goat antirabbit secondary antibody (1:20,000) respectively. |
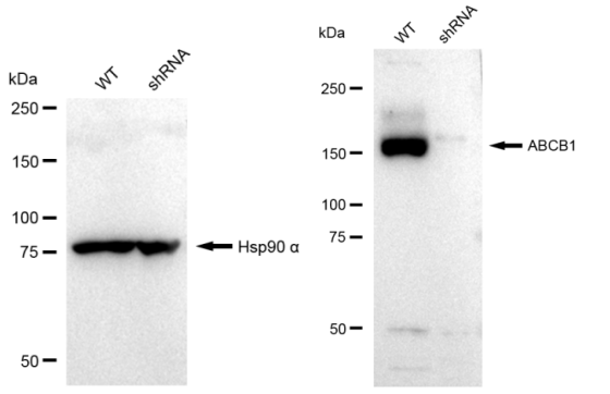
![]() | Western blotting analysis using anti-ABCB1 antibody.ABCB1expression in wild type (WT) and ABCB1 shRNA knockdown (KD) Hela cells with 30ug of total cell lysates. Hsp90 a serves as a loading control. The blot was incubated with anti-ABCB1 antibody (1:5,000) and HRP-conjugated goat anti-rabbit secondary antibody (1:20,000) respectively. |
![]() | lmmunocytochemical staining of HepG2 cells with ABCB1 antibody (1:1,000). Nuclei were stained blue with DAPl; ABCB1 was stained magenta with Alexa Fluor647. lmages were taken using Leica stellaris 5. Protein abundance based on laser Intensity and smart gain: Low. Scale bar: 20 um. |
You may also be interested in:



