Sidebar
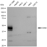
| Reactivity: | Human |
| Applications: | WB, FCM, WB-KD |
| Isotype: | IgG |
| Clone: | 23GB5795 |
| Host Species: | Rabbit |
| Clonality: | Monoclonal |
| Synonyms: | CD82; CD82 Molecule 2; TSPAN27; IA4; CD82 Antigen; KAI1; R2; Kangai 1 (Suppression Of Tumorigenicity 6, Prostate; CD82 Antigen (R2 Leukocyte Antigen, Antigen Detected By Monoclonal And Antibody IA4)); Metastasis Suppressor Kangai-1; Inducible Membrane Protein R2; Tetraspanin-27; C33 Antigen; Tspan-27; SAR2; Suppressor Of Tumorigenicity 6 Protein; Suppression Of Tumorigenicity 6; R2 Leukocyte Antigen; GR15; 4F9; C33 |
| Immunogen: | A synthesized peptide derived from human CD82 |
| Dilution: | WB 1:1,000-1:5,000; FCM 1:2,000 ; WB-KD 1:1,000-1:5,000 |
| Uniprot: | P27701 |
| NCBI Gene ID: | 3732 |
| MW: | 30-60 kDa |
| Purification Source: | Cell culture |
| Purification Method: | Affinity Purified |
| Buffer: | Liquid in BSA, PH 7.4, 50% glycerol and less than 0.02% sodium azide. |
| Storage: | Store at -20°C. Avoid repeated freeze/thaw cycles. |
| Documents: | Please contact us to request the manual |
