KD-Validated GPX1 Rabbit mAb (20 μl)

KD-Validated GPX1 Rabbit mAb (20 μl)

Catalog #: 62020
Availability: In Stock
$139.00
Reactivity: Human    
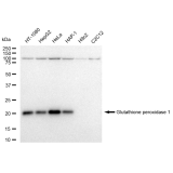
Applications: WB, FCM, WB-KD    
Isotype: IgG    
Clone: 23GB5600    
Host Species: Rabbit    
Clonality: Monoclonal    
Synonyms: GPX1; Glutathione Peroxidase 1; Cellular Glutathione Peroxidase; Selenoprotein GPX1; EC 1.11.1.9; GSHPx-1; EC 1.11.1; GSHPX1; GPx-1; GPXD
Immunogen: A synthesized peptide derived from human GPX1
Dilution: WB 1:1,000-1:5,000; FCM 1:2,000 ; WB-KD 1:1,000-1:5,000
Uniprot: P07203
NCBI Gene ID: 2876
MW: 22 kDa
Purification Source: Cell culture
Purification Method: Affinity Purified
Buffer: Liquid in BSA, PH 7.4, 50% glycerol and less than 0.02% sodium azide.
Storage: Store at -20°C. Avoid repeated freeze/thaw cycles.
Documents: Please contact us to request the manual