Sidebar
| Reactivity: | Human |
| Applications: | WB, FCM, WB-KD |
| Isotype: | IgG |
| Clone: | 23GB5580 |
| Host Species: | Rabbit |
| Clonality: | Monoclonal |
| Synonyms: | GORASP1; Golgi Reassembly Stacking Protein 1; GRASP65; Golgi Phosphoprotein 5; GOLPH5; P65; Golgi Reassembly-Stacking Protein Of 65 KDa; Golgi Reassembly Stacking Protein 1, 65kDa; Golgi Peripheral Membrane Protein P65; Golgi Reassembly-Stacking Protein 1; FLJ23443; Golgi Reassembly And Stacking Protein 1 |
| Immunogen: | A synthesized peptide derived from human GRASP65 |
| Dilution: | WB 1:1,000-1:5,000; FCM 1:2,000 ; WB-KD 1:1,000-1:5,000 |
| Uniprot: | Q9BQQ3 |
| NCBI Gene ID: | 64689 |
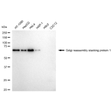
| MW: | 65 kDa |
| Purification Source: | Cell culture |
| Purification Method: | Affinity Purified |
| Buffer: | Liquid in BSA, PH 7.4, 50% glycerol and less than 0.02% sodium azide. |
| Storage: | Store at -20°C. Avoid repeated freeze/thaw cycles. |
| Documents: | Please contact us to request the manual |
