Sidebar
| Reactivity: | Human |
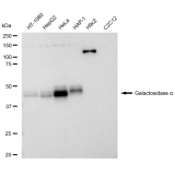
| Applications: | WB, FCM, WB-KD |
| Isotype: | IgG |
| Clone: | 23GB5545 |
| Host Species: | Rabbit |
| Clonality: | Monoclonal |
| Synonyms: | GLA; Galactosidase Alpha; GALA; Galactosylgalactosylglucosylceramidase GLA; Alpha-D-Galactosidase A; Alpha-Galactosidase A; EC 3.2.1.22; Melibiase; Alpha-D-Galactoside Galactohydrolase 1; Alpha-D-Galactoside Galactohydrolase; Agalsidase Alfa; Alpha-Gal A; Agalsidase; EC 3.2.1 |
| Immunogen: | A synthesized peptide derived from human Galactosidase alpha |
| Dilution: | WB 1:1,000-1:5,000; FCM 1:2,000 ; WB-KD 1:1,000-1:5,000 |
| Uniprot: | P06280 |
| NCBI Gene ID: | 2717 |
| MW: | 46 kDa |
| Purification Source: | Cell culture |
| Purification Method: | Affinity Purified |
| Buffer: | Liquid in BSA, PH 7.4, 50% glycerol and less than 0.02% sodium azide. |
| Storage: | Store at -20°C. Avoid repeated freeze/thaw cycles. |
| Documents: | Please contact us to request the manual |
