Sidebar
| Reactivity: | Human, Mouse, Rat |
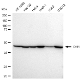
| Applications: | WB, FCM, WB-KD |
| Isotype: | IgG |
| Clone: | 23GB2105 |
| Host Species: | Rabbit |
| Clonality: | Monoclonal |
| Synonyms: | IDH1; Isocitrate Dehydrogenase (NADP(+)) 1; Isocitrate Dehydrogenase (NADP(+)) 1, Cytosolic; Isocitrate Dehydrogenase 1 (NADP+), Soluble; Isocitrate Dehydrogenase [NADP] Cytoplasmic; Oxalosuccinate Decarboxylase; NADP(+)-Specific ICDH; EC 1.1.1.42; PICD; IDH; NADP-Dependent Isocitrate Dehydrogenase, Peroxisomal; NADP-Dependent Isocitrate Dehydrogenase, Cytosolic; Epididymis Secretory Sperm Binding Protein; Cytosolic NADP-Isocitrate Dehydrogenase; Isocitrate Dehydrogenase 1 (NADP+); Epididymis Secretory Protein Li 26; Epididymis Luminal Protein 216; HEL-S-26; HEL-216; IDCD; IDPC; IDPc; IDP |
| Immunogen: | A synthesized peptide derived from human IDH1 |
| Dilution: | WB 1:1,000-1:5,000; FCM 1:2,000 ;WB-KD 1:1,000-1:5,000 |
| Uniprot: | O75874 |
| NCBI Gene ID: | 3417 |
| MW: | 45 kDa |
| Purification Source: | Cell culture |
| Purification Method: | Affinity Purified |
| Buffer: | Liquid in BSA, PH 7.4, 50% glycerol and less than 0.02% sodium azide. |
| Storage: | Store at -20°C. Avoid repeated freeze/thaw cycles. |
| Documents: | Please contact us to request the manual |
