Antibodies
KD-Validated SMS Rabbit mAb (20 μl)
Reactivity: Human Applications: WB, IF/IC, FCM, WB-KD Isotype: IgG Clone: 23GB4640 Host Species: Rabbit Clonality: Monoclonal Synonyms: SMS; Spermine Synthase; SPMSY; MRSR; Spermidine Aminopropyltransferase; SpS; SRS; Snyder-Robinso..
KD-Validated STX16 Rabbit mAb (20 μl)
Reactivity: Human Applications: WB, IF/IC, FCM, WB-KD Isotype: IgG Clone: 23GB4655 Host Species: Rabbit Clonality: Monoclonal Synonyms: STX16; Syntaxin 16; SYN-16; SYN16; Syntaxin-16; Hsyn16; HSYN16; Syn16Immunogen: A synthesized pe..
KD-Validated Nesprin3 Rabbit mAb (20 μl)
Reactivity: Human Applications: WB, IF/IC, WB-KD Isotype: IgG Clone: 23GB4670 Host Species: Rabbit Clonality: Monoclonal Synonyms: SYNE3; Spectrin Repeat Containing Nuclear Envelope Family Member 3; Nesprin-3; LINC00341; NET53; Long..
KD-Validated SYPL1 Rabbit mAb (20 μl)
Reactivity: Human Applications: WB, IF/IC, FCM, WB-KD Isotype: IgG Clone: 23GB4675 Host Species: Rabbit Clonality: Monoclonal Synonyms: SYPL1; Synaptophysin Like 1; Pantophysin; SYPL; Synaptophysin-Like Protein 1; Synaptophysin-Like..
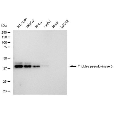
KD-Validated TRIB3 Rabbit mAb (20 μl)
Reactivity: Human Applications: WB, IF/IC, WB-KD Isotype: IgG Clone: 23GB4690 Host Species: Rabbit Clonality: Monoclonal Synonyms: TRIB3; Tribbles Pseudokinase 3; TRB3; P65-Interacting Inhibitor Of NF-Kappa-B; Tribbles Homolog 3; DJ..
KD-Validated TRIP10 Rabbit mAb (20 μl)
Reactivity: Mouse Applications: WB, IF/IC, FCM, WB-KD Isotype: IgG Clone: 23GB4705 Host Species: Rabbit Clonality: Monoclonal Synonyms: TRIP10; Thyroid Hormone Receptor Interactor 10; HSTP; CIP4; STP; STOT; Thyroid Receptor-Interact..
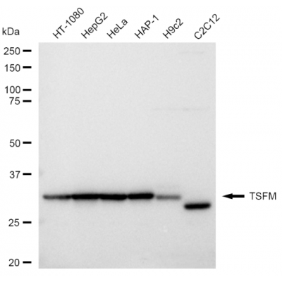
KD-Validated TSFM Rabbit mAb (20 μl)
Reactivity: Human, Mouse, Rat Applications: WB, IF/IC, FCM, WB-KD Isotype: IgG Clone: 23GB4710 Host Species: Rabbit Clonality: Monoclonal Synonyms: TSFM; Ts Translation Elongation Factor, Mitochondrial; Elongation Factor Ts, Mitocho..
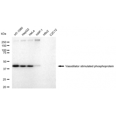
KD-Validated VASP Rabbit mAb (20 μl)
Reactivity: Human Applications: WB, IF/IC, FCM, WB-KD Isotype: IgG Clone: 23GB4715 Host Species: Rabbit Clonality: Monoclonal Synonyms: VASP; Vasodilator Stimulated Phosphoprotein; Vasodilator-Stimulated PhosphoproteinImmunogen: A s..
























